Implant dentar
In zilele noastre, cu putina atentie, dar si cu o ingrijire regulata, nu exista nicio problema dentara care sa nu poata fi rezolvata. Daca va aflati in situatia in care va lipseste un dinte sau mai multi, implantul dentar este pentru dumneavoastra alegerea optima.
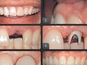
Dupa instalarea implantului dentar, dantura dumneavoastra va arata ca noua si veti putea zambi din nou, larg si fara retineri.
Ce este implantul dentar?
Implantul dentar este un dispozitiv cu o forma radiculara, montat la baza dintelui pentru a sustine partea coronara a unuia sau mai multi dinti lipsa. De regula, implanturile dentare sunt confectionate din titan, un material care are abilitatea de a fuziona complet cu osul. Procesul de fuziune se numeste osteointegrare.
Practic, implantul dentar este un inlocuitor pentru radacina dintelui la nivelul osului, forma si marimea sa fiind aceleasi cu radacina dintelui. Implanturile dentare sunt concepute pentru a sustine diverse tipuri de reconstituiri protetice, precum coroanele dentare, puntile dentare sau supraprotezele.
Din ce este alcatuit implantul dentar?
Implantul dentar este compus din:
- corpul implantului – este implantul propriu-zis si are o forma radiculara, adesea de
surub;
- capa de vindecare – ea este componenta care ofera protectie corpului implantului pana la finalul procesului de osteointegrare, iar ulterior va fi indepartata, odata cu aplicarea
bontului de vindecare;
- abutmentul, numit si bontul protetic – este cel care asigura sustinerea coroanei;
- bontul de vindecare – aceasta componenta este instalata in corpul implantului pentru a
permite gingiei sa se dezvolte in jurul sau si este inlaturata dupa doua saptamani de la
instalare;
- bontul de transfer – este folosit la amprentarea in vederea conceperii coroanei dentare;
- implantul analog – este utilizat la reproducerea implantului si a pozitiei acestuia;
- surubul de fixare – cel care face legatura intre toate componentele implantului dentar;
- coroana dentara – aceasta componenta este partea vizibila a implantului si, cel mai adesea, este construita din portelan, ea realizandu-se separat.
Implanturi dentare – Pareri
Implanturile dentare sunt concepute pentru a va reda fizionomia dintilor pierduti, din cauza trecerii timpului sau din alte motive. In plus, in cazul in care nu stiati, daca nu aveti unul sau mai multi dinti intr-un rand, se poate produce deplasarea altor dinti si o resorbtie osoasa. Inainte de instalarea implantului, trebuie sa faceti o radiografie dentara, cu care sa va duceti la dentistul dumneavoastra. Dupa examinarea radiografiei, stomatologul va va prezenta optiunile.
Astazi implanturile au devenit un procedeu la ordinea zilei, iar peste 96% din cazuri sunt
rezolvate cu succes. Implanturile dentare pot fi instalate si la pacientii edentati, in doua faza, cu o pauza de trei luni.
Intregul proces al instalarii unui implant dentar este nedureros, dat fiind ca intreaga procedura chirurgicala se intreprinde sub anestezie locala. Odata cu trecerea efectului anesteziei, este posibil sa apara unele dureri, dar pentru acestea, medicul va va prescrie un tratament medicamentos.
Implanturi dentare – Pret
Pentru implanturile dentare, preturile incep de la 350 de euro si pot ajunge la peste 1000 de euro, in functie de materialul din care sunt concepute. De asemenea, pot fi gasite si mini-implanturi la aproximativ 250 de euro. Acestea au un diametru mai mic de 3 mm, iar cele clasice au un diametru de 4 sau 5 m. In principiu, ele sunt destinate persoanelor in varsta.
* Preturile sunt aproximative, pentru informatii exacte cu privire la servicii, va sugeram sa contactati cabinetele de mai jos:














Scrie comentariu:
Subiecte din categorie:
cabinete stomatologicecabinete stomatologice bucuresticabinet stomatologiccabinet stomatologic bucurestistomatologiedentistidentist